専門診療
矯正歯科
当科では一般的な歯科矯正治療(自由診療)だけでなく、顎変形症や口唇口蓋裂などの健康保険の適応となる矯正治療も行っております。
矯正治療は、咀嚼機能の改善、う蝕や歯周病の予防、審美機能の改善が期待されます。
しかし、矯正治療を受ける上での注意点およびリスクを十分理解していただく必要があります。日本矯正歯科学会および厚生労働省のガイドラインでもこの点について非常に重要と考えられており、ホームページ掲載上、必須記載事項となっております。ページの後半にまとめております内容を必ず御一読頂きたく思います。
当科(矯正歯科)への受診について
当科へ初めて受診される患者様は、紹介状(診療情報提供書)が必要となります。
また、予約センターに連絡の上、事前予約を取得して頂くようお願いしております。
*小児の矯正治療相談につきましても、本館の歯科口腔外科外来で承っております。
(矯正医が不在の場合もありますので、ご容赦ください。)
受診後の流れ
- 相談
- 診察・検査
- 診断(治療の適応か判断、治療方法の説明)
- 治療開始(治療例をHp後半に掲載)
- 保定観察
当科における自由診療費(2023.6.10時点)
- 相談料
- 3,300円
- 検査・診断料
- 55,000円
- 装置・技術料
- 660,000円(症例によって金額は変わります)
- 調整料
- 3,300~7,700円
- その他
- 装置の破損や部分矯正治療など事象や症例に応じて費用を頂きます。
また、消費税の変更や材料費の高騰などの理由により、随時治療費は変動致します。
矯正歯科治療に伴う一般的なリスクや副作用について
- 最初は矯正装置による不快感、痛み等があります。数日間~1、2 週間で慣れることが多いです。
- 歯の動き方には個人差があります。そのため、予想された治療期間が延長する可能性があります。
- 装置の使用状況、顎間ゴムの使用状況、定期的な通院等、矯正治療には患者さんの協力が非常に重要であり、それらが治療結果や治療期間に影響します。
- 治療中は、装置が付いているため歯が磨きにくくなります。むし歯や歯周病のリスクが高まりますので丁寧に磨いたり、定期的なメンテナンスを受けたりすることが重要です。また、歯が動くと隠れていたむし歯が見えるようになることもあります。
- 歯を動かすことにより歯根が吸収して短くなることがあります。また、歯ぐきがやせて下がることがあります。
- ごくまれに歯が骨と癒着していて歯が動かないことがあります。
- ごくまれに歯を動かすことで神経が障害を受けて壊死することがあります。
- 治療途中に金属等のアレルギー症状が出ることがあります。
- 治療中に「顎関節で音が鳴る、あごが痛い、口が開けにくい」などの顎関節症状が出ることがあります。
- 様々な問題により、当初予定した治療計画を変更する可能性があります。
- 歯の形を修正したり、咬み合わせの微調整を行ったりする可能性があります。
- 矯正装置を誤飲する可能性があります。
- 装置を外す時に、エナメル質に微小な亀裂が入る可能性や、かぶせ物(補綴物)の一部が破損する可能性があります。
- 装置が外れた後、保定装置を指示通り使用しないと後戻りが生じる可能性が高くなります。
- 装置が外れた後、現在の咬み合わせに合った状態のかぶせ物(補綴物)やむし歯の治療(修復物)などをやりなおす可能性があります。
- あごの成長発育によりかみ合わせや歯並びが変化する可能性があります。
- 治療後に親知らずが生えて、凸凹が生じる可能性があります。加齢や歯周病等により歯を支えている骨がやせるとかみ合わせや歯並びが変化することがあります。その場合、再治療等が必要になることがあります。
- 矯正歯科治療は、一度始めると元の状態に戻すことは難しくなります。
(日本矯正歯科学会Hpより)
当科での治療例
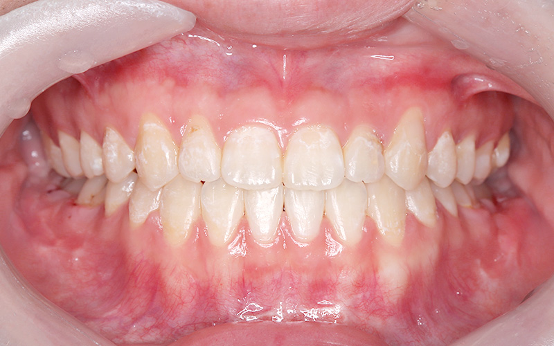
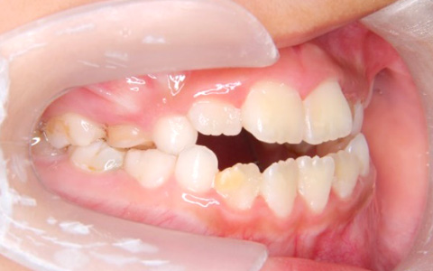
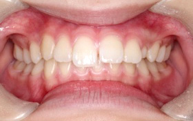
1叢生
主訴:前歯のガタガタが気になる(患者初診時年齢:23歳11か月)
診断名:叢生
治療に用いた主な装置:マルチブラケット装置
抜歯部位:非抜歯
治療期間:2年6か月
治療費概算およびリスク副作用:当科で設定している治療費に準じ、リスク副作用についても日本矯正歯科学会Hp掲載内容を説明(上記参照)
初診時
動的治療終了時
2上顎前突
主訴:口元が出ている(患者年齢:23歳5か月)
診断名:骨格性上顎前突症
治療に用いた主な装置:マルチブラケット装置、歯科矯正用アンカースクリュー
抜歯部位:上顎両側第一小臼歯、下顎右側第一小臼歯
治療期間:2年7か月
治療費概算およびリスク副作用:当科で設定している治療費に準じ、リスク副作用についても日本矯正歯科学会Hp掲載内容を説明(上記参照)
初診時
動的治療終了時
3下顎前突(手術を伴う外科的矯正治療)
主訴:受け口の見た目を治したい(患者年齢:21歳5か月)
診断名:骨格性下顎前突症
治療に用いた主な装置:マルチブラケット装置
抜歯部位:非抜歯
治療期間:2年6か月
治療費概算およびリスク副作用:当科で設定している治療費に準じ、リスク副作用についても日本矯正歯科学会Hp掲載内容を説明(上記参照)
初診時
動的治療終了時
4開咬(Ⅰ期治療)
主訴:前歯が開いている(患者年齢:7歳10か月)
診断名:開咬
治療に用いた主な装置:タングクリブ付き拡大床
抜歯部位:非抜歯
治療期間:2年2か月
治療費概算およびリスク副作用:当科で設定している治療費に準じ、リスク副作用についても日本矯正歯科学会Hp掲載内容を説明(上記参照)
初診時
動的治療終了時
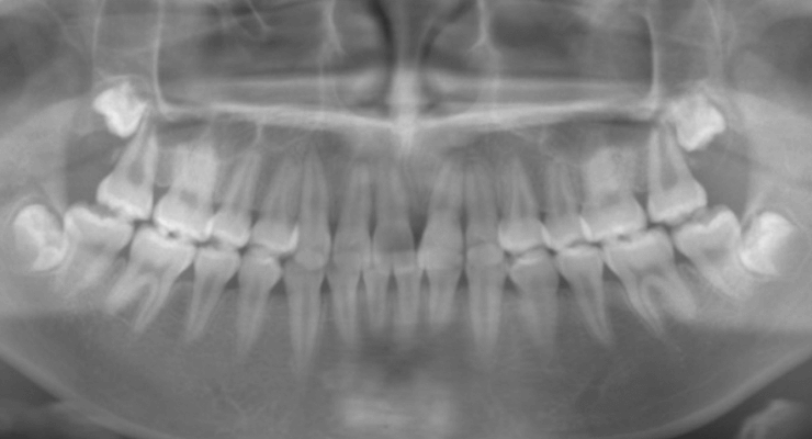
5埋伏歯
主訴:永久歯が出てこない(患者年齢11歳3か月)
診断名:左側上顎埋伏犬歯、左側上顎中切歯歯根吸収
治療に用いた主な装置:リンガルアーチ、マルチブラケット装置
抜歯部位:左側上顎中切歯、左側上顎乳犬歯
治療期間:2年9か月
治療費概算およびリスク副作用:当科で設定している治療費に準じ、リスク副作用についても日本矯正歯科学会Hp掲載内容を説明(上記参照)
初診時

パノラマX線写真

CT画像
開窓・牽引時

動的治療開始4か月後

動的治療開始8か月後

動的治療開始12か月後

































